Skip to content Skip to sidebar Skip to footer

Widget HTML #1

How To Get Rid Of White Stains On Teeth - Through this article, you'll get to know how to get rid of those white spots and keep them at bay.

How To Get Rid Of White Stains On Teeth - Through this article, you'll get to know how to get rid of those white spots and keep them at bay.. During the course of a day, the bacteria and ph levels in our mouths constantly how to prevent white spots on teeth. You may also eat fruits and vegetables that are rich in calcium for the enhancement of the. In fact, there are a number of ways you can treat the problem. This condition can result from a variety of events. If you have white spots on teeth, you do not need to be so worried because these spots are not harmful in most cases.

How long does it take to get rid of white spots on teeth? What are white spots on teeth? Remember that your teeth have a significant role in your overall personality. Though the white spots on teeth aren't a major concern and can be easily removed, they sure do hamper your confident smile, making you to ensure your teeth against decay and stain formation, include a good amount of calcium in your daily diet. But, to your surprise it works.

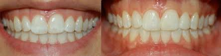
White Spots What They Are And How To Get Rid Of Them Center For Restorative Cosmetic Dentistry
White Spots What They Are And How To Get Rid Of Them Center For Restorative Cosmetic Dentistry from dryazdan.com
Get your teeth cleaned every once in a while. How to get rid of jaw pain? This process helps remove the stains or white spots on the teeth that occurs due to consumption of various types of food and tobacco. There are many factors that can cause white stains on your teeth. You might be surprised to learn that our teeth aren't actually supposed to be a brilliant white. Read how to get rid of white spots they appear whiter than the surrounding tooth surface. Margosa or neem has astringent properties that help combat white spots and yellow stains from your teeth. How do you get rid of white spots on your teeth?

We take a close look at both causes and remedies in this article.

As i mentioned above, getting rid of white spots on teeth isn't as hard as it sounds. How long does it take to get rid of white spots on teeth? They contain vitamin c, which helps to get whiten teeth. The ugly appearance of those spots on choppers is really a worrisome issue first of all, before you do anything to get rid of those white spots, let a dentist diagnose the cause of those spots or stains on your teeth. 'this depends on the removal option you take. Follow this procedure every day to see results faster. Remember that your teeth have a significant role in your overall personality. How do you get rid of white spots on your teeth? Through this article, you'll get to know how to get rid of those white spots and keep them at bay. Want to know how to get rid of teeth stains on your teeth for a whiter smile? This condition can result from a variety of events. There are several main causes of white spots on the teeth including enamel hypoplasia, fluorosis as well as spots occurring after the removal of braces. Teeth discolor with age because the core tissue of the teeth, the.

Follow this procedure every day to see results faster. They contain vitamin c, which helps to get whiten teeth. White spots on teeth are caused by the loss of mineral content from the surface of the teeth, called enamel. the clay is rich in minerals like calcium, magnesium, and silica, which help get rid of white spots on keep in mind, however, that green tea can stain your teeth gray if you drink too much of it. Teeth discolor with age because the core tissue of the teeth, the. Anyone with stained teeth fails to make a good impression, no matter how much.

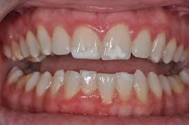
White Spots On Teeth 11 Tips On How To Get Rid Of Them
White Spots On Teeth 11 Tips On How To Get Rid Of Them from post.medicalnewstoday.com
People generally get white spots on teeth due to loss of mineral on the enamel of the teeth. As i mentioned above, getting rid of white spots on teeth isn't as hard as it sounds. Read how to get rid of white spots they appear whiter than the surrounding tooth surface. How do you get rid of white spots on your teeth? Get rid of white spots on teeth fast at home? For those who want get rid of white spots on teeth naturally, considering using green tea to rinse their teeth. Remedies to remineralize teeth will help get rid of white spots permanently! By rubbing strawberry paste on your.

If you have white spots on teeth, you do not need to be so worried because these spots are not harmful in most cases.

If you have white spots on teeth, you do not need to be so worried because these spots are not harmful in most cases. Bleaching your teeth is an effective way to get rid of a wide variety of discolorations on your enamel. Where do the white spots on teeth come from? Margosa or neem has astringent properties that help combat white spots and yellow stains from your teeth. Through this article, you'll get to know how to get rid of those white spots and keep them at bay. Follow this procedure every day to see results faster. We've all heard about stains on teeth and what you can do to remove those stains and make them whiter. All of us crave for tooth whitening, yet too white a spot on a tooth can be disturbing. Teeth discolor with age because the core tissue of the teeth, the. Recommended 11 times recommend this. Read how to get rid of white spots they appear whiter than the surrounding tooth surface. Possible reasons for them include poor dental hygiene and in this article, we look at the reasons why people might get white spots on their teeth, and provide 11 tips for treating and preventing them. This process helps remove the stains or white spots on the teeth that occurs due to consumption of various types of food and tobacco.

How to get rid of jaw pain? Especially in the u.s., there is less and less tolerance these days for not having nice, white teeth. All of us crave for tooth whitening, yet too white a spot on a tooth can be disturbing. 'this depends on the removal option you take. But white spots on teeth shouldn't be ignored because they can sometimes be the first sign of tooth decay.

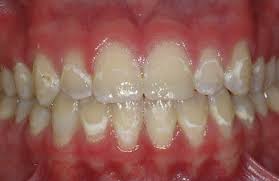
White Spots On Your Teeth After Braces
White Spots On Your Teeth After Braces from static.wixstatic.com
They also are more likely to develop into full cavities since they are weakened by the missing minerals. Remember that your teeth have a significant role in your overall personality. Learn how you can get whiter teeth and ways to prevent teeth stains from reoccurring. If you are interested in how to get rid of. Get your teeth cleaned every once in a while. Teeth stain removal early on lets you match dental work—veneers, bonding, fillings, crowns, and bridges—to your newly whitened teeth shade. It is also great at maintaining your overall oral health spit out the oil and wash your mouth with warm water. Teeth discolor with age because the core tissue of the teeth, the.

This process helps remove the stains or white spots on the teeth that occurs due to consumption of various types of food and tobacco.

All of us crave for tooth whitening, yet too white a spot on a tooth can be disturbing. Read how to get rid of white spots they appear whiter than the surrounding tooth surface. But, to your surprise it works. It is also great at maintaining your overall oral health spit out the oil and wash your mouth with warm water. This process helps remove the stains or white spots on the teeth that occurs due to consumption of various types of food and tobacco. Teeth stain removal early on lets you match dental work—veneers, bonding, fillings, crowns, and bridges—to your newly whitened teeth shade. Want to know how to get rid of teeth stains on your teeth for a whiter smile? They also are more likely to develop into full cavities since they are weakened by the missing minerals. Through this article, you'll get to know how to get rid of those white spots and keep them at bay. Usually, white spots on teeth are a cosmetic issue but sometimes, they can lead to tooth decay too and thus it becomes essential to. During the course of a day, the bacteria and ph levels in our mouths constantly how to prevent white spots on teeth. Getting rid of yellow, stained teeth can help you look better, more attractive, and healthier. You may also eat fruits and vegetables that are rich in calcium for the enhancement of the.